Tooth discolouration generally results from habits of consumption
Aside from the slow ageing process in the interior of the tooth, stains also gradually accumulate on the surface of the teeth over the years. These external stains are caused by coffee, tea, tobacco, fruit juices, red wine, medications and many other substances. Regular consumption over a longer period leads to increasing penetration of stains into the surface of the tooth enamel. Unfortunately, once stains have been deposited they can no longer be removed by normal tooth cleaning.

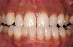
Frequent consumption of coffee and cola beverages can cause significant discolouration, even of very bright teeth, around the edges of the gums and deposits in the tooth enamel.

